福長デンタルクリニック   下の入れ歯固定装置を された方の写真   


ここに掲載されているそれぞれの写真の詳しい治療内容については、≪INDEX≫の”超精密特許義歯『ウルトラデンチャー』”、”下の入れ歯固定装置ミニインプラント”、および”審美歯科”のページをご参照ください。
また、それぞれの治療費につきましては、その他の情報INDEXの”料金一覧表”のページをご参照ください。
なお、この写真に掲載されているミニインプラント植立治療のリスクは、局所麻酔薬によるショック、術後感染、インプラントの固定不良による脱落などが考えられます。
局所麻酔薬によるショックは、通常の虫歯などの歯科治療と変わるものではありません。
術後感染につきましては、術前に徹底的な局所洗浄、消毒を行い、また、術者の手指グローブおよび器具を完全滅菌して行いますので、通常の歯科口腔外科手術と比べ、その発生頻度が高くなることはありません。
また、明らかに患者さんの免疫機能が低下していると考えられる場合には、植立術を施行することはありません。
インプラントの固定不良は、植立直後に想定できるものではありませんが、その発生頻度はかなり低く、可能性は数パーセントです。
もし脱落した場合には、再植立を行うことも可能です。
副作用につきましては、金属アレルギーが考えられますが、これも、その発生頻度が通常の歯科治療を超えるものではなく、当医院では、開院以来、金属アレルギーの症状が出現された患者様はおられません。 

C 70代女性 患者さんの、「下の入れ歯がどうしても浮き上がってがたついて食べ辛いのですが、
何とかならないでしょうか」 という訴えのもと、治療を行いました。
治療後    
   下顎骨のCTを撮影して、骨の状態が良好だったため、下顎義歯固定装置(ミニインプラント)を4本植立しました。 結果、下顎義歯をしっかり固定することができ、浮き上がり防止に役立ちました。

B 70代男性 患者さんの、「下の歯ぐきがやせてしまって、入れ歯ががたついてどうしようもないのです。食べる時に口の中で入れ歯が踊りますし、しゃべる時も浮き上がってしまいます。入れ歯の安定剤を使うのもイヤなのですが、何か方法はありませんか?」という訴えのもと、下顎骨のCT撮影を行い、骨の状態が良好であることを確認後、ミニインプラント4本の植立を行いました。

 治療後        
   下顎前歯部に、
ミニインプラント4本植立   
下のウルトラデンチャー(総入れ歯)を作製しました

A 70代女性     患者さんの、「下あごの土手がなくなり、入れ歯がすぐに動いてしまうので、とっても使い勝手が悪いのですが、動かないようにできないでしょうか?」という訴えのもと、CT撮影により、下顎骨の状態を確認の後、ミニインプラントを4本植立しました。
下の総入れ歯をしっかり固定することができたので、入れ歯安定剤の使用は不要になりました。
 治療前    
    
治療後
  下の総入れ歯固定装置(ミニインプラント)を4本植立しました 下のウルトラデンチャー(総入れ歯)を作製しました

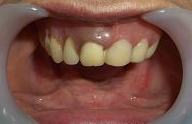
@ 70代男性 患者さんの、「下の入れ歯が浮き上がって困っているんですが、どうにかならないでしょうか。」という訴えのもと、CT撮影により、下顎骨の状態を確認の後、ミニインプラントを4本植立し、ウルトラデンチャー(総入れ歯)を作製しました。
 治療後   
   下顎前歯部に固定装置を4本植立しました 下の総入れ歯がしっかり固定されました 



       その他の
  治療前後の写真集のメニュー
  
治療前後の写真集 インデックスへ





        


INDEX≫

治療前後の写真集

超精密特許義歯
『ウルトラデンチャー』
下の入れ歯固定装置
ミニインプラント
AQBインプラント 審美歯科
デンタルエステ


その他の情報INDEX

診療コンセプト
   熟練技工士との対談『ウルトラデンチャー物語』   院長略歴   書籍紹介

料金一覧表   
アクセス   プライバシーの保護   リンク集   サイトマップ
 

大阪梅田 
泉の広場上がる スグ


地図はこちら→所在地の地図へ
                
診 療 日  火曜日〜土曜日
診療時間  正午12:00〜夜7:00  (電話受付 夜6時まで)
休 診 日  日・月・祝日 
  健保取扱い 予約制

治療またはカウンセリングをご希望の方は、
まずはメールかお電話を!

 0120-146182(  いー白い歯に)  
メールでのご予約、お問い合わせはこちら⇒メール作成画面へ

お名前、お電話番号と、ご希望の日時を2,3 お書きいただき、
送信してください
(メール受付は24時間対応)




無断転載禁止 このホームページ上に掲載されている全ての写真、内容は、著作権法により保護されています。 
Copyright©  2009 Fukunaga Dental Clinic.  All Rights Reserved.