| ここに掲載されているそれぞれの写真の詳しい治療内容については、≪INDEX≫の”超精密特許義歯『ウルトラデンチャー』”、”下の入れ歯固定装置ミニインプラント”、および”審美歯科”のページをご参照ください。 また、それぞれの治療費につきましては、その他の情報INDEXの”料金一覧表”のページをご参照ください。 なお、この写真に掲載されている治療のリスクは、通常の歯科治療におけるリスク(補綴物の脱離、破折、調整前の咬合時痛、局所麻酔薬によるショックなど)と何ら変わるものではありません。 副作用につきましては、金属アレルギーが考えられますが、これも、その発生頻度が通常の歯科治療を超えるものではなく、当医院では、開院以来、金属アレルギーの症状が出現された患者様はおられません。 |
大阪梅田 泉の広場上がる スグ 地図はこちら→ |
治療またはカウンセリングをご希望の方は、 まずはメールかお電話を! メールでのご予約、お問い合わせはこちら⇒ お名前、お電話番号と、ご希望の日時を2,3 お書きいただき、 送信してください(メール受付は24時間対応) |
![]()
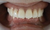
| ⑳ 70代女性 | 上はウルトラデンチャー(総入れ歯)にて、針金をなくしました。 下はミニインプラント(下の入れ歯固定装置)にてしっかり固定できました。 |
| 治療前 | ![]() |
|
![]() |
||||
| 治療後 | ![]() |
![]() |
![]() |
|
|||
| 上下ウルトラデンチャー (総入れ歯)完成 |
ミニインプラント4本を植立したところ (頭の部分が凸になります) |
入れ歯の内面に装着したハウジングが凹になり、リング状のゴムで下顎の総入れ歯をしっかり固定することができます | |||||
![]()
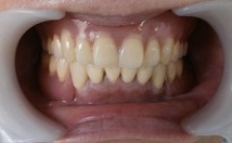
| ⑲ 50代女性 | 患者さんの、「長年歯で悩んでいます。奥歯がないので噛めないし、前歯も見た目が良くないので、きれいにしてほしいです。」 という訴えのもと、治療を行いました。 |
| 治療前 | ![]() |
![]() |
| 治療後 | ![]() |
![]() |
| 下の前歯6本にセラミッククラウン、下の左右奥歯にアタッチメントウルトラデンチャー(部分入れ歯)を作製、装着しました。 上は、ウルトラデンチャー(総入れ歯)です。 |
||
| ⑱ 70代女性 | 患者さんの、「歯がボロボロなので、痛くて噛むことができません。 見た目も入れ歯と分からないようにしたいのですが。」という訴えのもと、治療を行いました。 |
| 治療前 | |
|||
| 治療後 | ||||
| 残っている歯根に上2本、下4本、OPアンカーを装着し、上下ウルトラデンチャー(総入れ歯)を固定しました。今では痛みもなくなり、何でも噛んでおられます。 | ||||
![]()
| ⑰ 70代女性 | 患者さん | 「他の歯医者さんで治療を受けたのですが、毎回待たされるだけ待たされて 治療は5分から10分ですぐ終わってしまいます。 2年間も通ったのですが、全然よくならず、こんなままで一生過ごすかと思うと 悲しくなってきたので、思い切ってお医者さんを変えることにしました。 何とかしっかり噛めて、人前で笑えるように治してもらえないでしょうか?」 |
| 福長 | 「これは、いくらなんでもかわいそうですね。 まず、歯を磨くことができません。 重度の歯槽膿漏のため、全ての歯を固定しておられるのでしょうが、 これでは見た目が悪過ぎますし、奥歯で噛み合っていません。 物が噛み切れないでしょう。 全ての固定を一旦はずしてみて、一つ一つの歯を検査しますが、 ほとんどの歯が虫歯になっているようですし、歯槽膿漏も進行しているので、 患者さんの歯を何本残せるかわかりませんが、治療を進めないと仕方ないですね。」 |
| 治療前 | ![]() |
|
![]() |
|
| 治療後 | ![]() |
![]() |
![]() |
|
| 下の歯4本は、歯槽膿漏、虫歯が共に軽度で、残すことができました。4本の内3本の歯にOPアンカーをセットし、下の総入れ歯を固定しました。 | 上下ウルトラデンチャー(総入れ歯) 作製、装着 |
とってもきれいな口元に なりました。 |
||
上の入れ歯は、ぴったり吸い付き、全く落ちなくなりました。 下の入れ歯も、口を大きく開けても浮き上がらなくなりました。 残すことができた下の歯4本は、TBI(歯磨き指導)を行いますので、今後はしっかり磨いていただきます。 また、最低でも6か月に一度は検診に来ていただきます。 開院以来、多くの患者さんに接してきましたが、今回のケースには少々驚きました。 しっかり物を噛めることが、健康な生活の第一歩です。 |
![]()
| ⑯ 70代男性 |
| 治療前 | ![]() |
|
|
| 治療後 | ![]() |
![]() |
|
| 上下、針金のないウルトラデンチャー(総入れ歯)を作製しました。 |
|||
![]()
| ⑮ 60代女性 | 患者さんの、「今まで一度も入れ歯を入れたことがないのですが、うまくいくでしょうか?」 という訴えのもと、治療を行いました。 |
| 治療前 | ![]() |
![]() |
|
| 治療後 | ![]() |
![]() |
|
| 上は一本も歯が残っていませんでした。 下は前歯が5本残っていましたが、歯垢、歯石がかなり付着して、歯肉炎も進行していました。 抜歯をする必要まではなかったので、付着している歯石を徹底的に除去し、セラミッククラウンブリッジを7本かぶせて、左右の奥は針金のないアタッチメントウルトラデンチャー(部分入れ歯)を作製しました。 今後は、歯磨き指導を受けていただき、歯石がつかないように残ったご自身の5本の歯をしっかりと磨いていただきます。 上はウルトラデンチャー(総入れ歯)。 |
|||
![]()
| ⑭ 60代女性 | 患者さんの、「10数年前に作った入れ歯を作り直してもらいたいのと、 下の歯が隙きっ歯で歯並びが悪いのですが、きれいにしていただけませんか? できれば、針金なども見えないような入れ歯にしてほしいです。」 という訴えのもと、治療を行いました。 |
| 治療前 | ![]() |
![]() |
![]() |
|
| 治療後 | ![]() |
![]() |
![]() |
|
| 下の歯6本に セラミッククラウンを 装着しました。 |
上はウルトラデンチャー(総入れ歯)。 下の奥歯は、針金のないアタッチメントウルトラデンチャー(部分入れ歯)を作製しました。 |
自然な口元になりました。 | ||
![]()
| ⑬ 70代女性 |
| 治療後 | ![]() |
![]() |
![]() |
|
| 抜かずに済んだ、 しっかりした5本の歯に、 OPアンカーを装着しました。 |
下の入れ歯は、OPアンカーにて固定したため、動きません。 上の入れ歯も落下しません。 |
|||
| OPアンカーというのは、インプラントのように手術をする必要がありません。 型採りをして、残存歯の上に装着します。これによって、入れ歯を固定することができます。 |
||||
![]()
| ⑫ 60代女性 |
| 治療前 | ![]() |
|
|
| 治療後 | ![]() |
![]() |
|
| 上はウルトラデンチャー(総入れ歯)、下はウルトラデンチャー(部分入れ歯)を作製しました。 | |||
![]()
| ⑪ 70代女性 | 患者さんの、 「見た目も悪いですし、長年使っている入れ歯がくたびれてきたので、 新しいのを作ってほしいのですが。」という訴えのもと、治療を行いました。 |
| 治療前 | ![]() |
||||
| |
|||||
| 治療後 | ![]() |
![]() |
![]() |
![]() |
|
| 現在お使いの入れ歯は、下の前歯が見えにくく、上下のバランスも余り良くないので、それを考慮して上下ウルトラデンチャー(総入れ歯)を作製しました。 歯の色も、少し白くしました。 |
下の入れ歯を固定するため、>残っている2本の歯にOPアンカーを装着しました。 | OPアンカーにより、下の入れ歯を固定することができ、浮き上がり防止に役立ちました。 | 口元も美しく改善できたと考えております。 |
||
![]()
| ⑩ 60代女性 | 患者さんの、 「針金が見えるのもいやですし、歯並びも気に入らないので、そろそろ入れ歯を作り直そうと思っているのですが。自分の歯は、下に3本しか残っていませんが、うまくいくでしょうか?」 という訴えのもと、治療を行いました。 |
| 治療前 | ![]() |
||
| |
|||
| 治療後 | ![]() |
![]() |
|
| 上下ウルトラデンチャー(総入れ歯)を作製しました。 | 残っている3本の歯にOPアンカーを装着しました。これにより、下顎の入れ歯をしっかり固定することができました。 | ||
![]()
| ⑨ 60代女性 |
| 治療前 | ![]() |
![]() |
|
| 治療後 | ![]() |
![]() |
|
| 今にも抜け落ちそうなグラグラな下の歯を、 銀歯も含めて4本抜歯しました(重度歯周病)。 上下ウルトラデンチャー(総入れ歯)を作製しました。 入れ歯の痛みに長年困っておられたのですが、これを解消することができました。 |
|||
![]()
| ⑧ 50代女性 |
| 治療前 | ![]() |
| |
|
| 治療後 | ![]() |
| 上顎にウルトラデンチャー(総入れ歯)を作製、装着しました。 | |
![]()
| ⑦ 70代女性 | 患者さん | 「現在使用中の入れ歯が相当くたびれてきましたし、歯があまり見えず、歪んでいるため大きな口を開けて笑うことができません。 どうせ新しく作り直すのなら、口元を美しくしたいのですが。 前回他院で作った時は、『はい、できあがり』と渡されたのですが、見た目に関して納得しないまま使っておりました。入れ歯って、そんなものなのでしょうか。」 |
| 福長 | 「入れ歯は、歯並びはもちろん、個々の歯の色、形、大きさなどによって、口元の感じが大きく変わってしまいますので、吟味して上手に作っていきましょう。 患者さんにとって、出来上がりがどんな感じになるのかとても不安でしょうから、完成するまでの工程で実際に歯を並べてよく見ていただきます。ご自身で判断しにくい場合は、自宅に持ち帰っていただいても結構です。 見た目がおかしくないか、家族の方にも見てもらうのをお勧めします。 患者さんが納得するまで、歯並び合わせをしますので、こちらで勝手に完成させることはありません。ご心配無用です。」 |
| 治療前 | ||||
| 治療後 | ||||
歯並び合わせを何回か行い、上下ウルトラデンチャー(総入れ歯)を完成しました。 |
![]()
| ⑥ 60代女性 |
| 治療前 | ![]() |
||
| 治療後 | ![]() |
![]() |
|
![]()
| ⑤ 60代女性 | 患者さんの、「長年入れ歯を使っているのですが、かなりくたびれてきたので、上下ともやり直したいのですが・・・」 という主訴のもと、治療を行いました。 |
| 治療前 | ![]() |
![]() |
| 治療後 | ![]() |
|
| 歯が相当黄ばんでいたので、患者さんが希望する白い歯に変えました。 笑った時に、上の歯が見えないので、見えるように歯並びも整えました。 上下ともに、ウルトラデンチャー(総入れ歯)です。 |
||
![]()
| ④ 70代男性 | 患者さんから、「針金つきの入れ歯は、口の中でささりそうなので、やめて欲しい。」との訴えがあり、下顎は重度歯周病の歯を3本抜歯し、保存することができた2本の歯にOPアンカーを装着しました。 |
| 治療前 | |||
| 治療後 | |||
| 上下ウルトラデンチャー(総入れ歯)を作製しました。 | 斜めになっていた歯の向きを、まっすぐに直して作製しました。 | ||
![]()
| ③ 70代女性 | 患者さんの、 「長い間入れ歯を使って、もうくたびれているので、新しい入れ歯を作ってください。 見た目ももっときれいにしてください。 あごつきの入れ歯は、気持ち悪いのでやめて欲しいです。」という訴えに沿う形で、治療を進めました。 |
| 治療前 | |||
| 治療後 | |||
| 上はOPアンカーを4本装着しました。下は入れ歯固定装置のミニインプラントを植立しました。 | 上下ウルトラデンチャー(総入れ歯)を作製しました。 | ||
![]()
| ② 70代男性 | 患者さんの、「下の入れ歯が浮き上がって食べかすが入り、痛くて困っています。 もっと口に合った入れ歯を作ってください。」という訴えのもと、上下ウルトラデンチャー(総入れ歯)を作製しました。 |
| 治療前 | ||||
| 治療後 | 下の入れ歯の適合精度が上がったことにより、食べかすが入らなくなりました。 |
|||
![]()
| ① 60代女性 |
| 治療前 | ||||
| 治療後 | ||||
下の歯は、歯周病のため残すのが不可能な3本を抜歯し、残った4本にOPアンカーを装着して下の総入れ歯を固定しました。 |
上下ウルトラデンチャー(総入れ歯)を作製しました。 よく合っていて、全く痛くないと言っておられます。 |
|||
![]()
![]()
|
≪INDEX≫
|
大阪梅田 泉の広場上がる スグ 地図はこちら→ |
治療またはカウンセリングをご希望の方は、 まずはメールかお電話を! メールでのご予約、お問い合わせはこちら⇒ お名前、お電話番号と、ご希望の日時を2,3 お書きいただき、 送信してください(メール受付は24時間対応) |
| 無断転載禁止 | このホームページ上に掲載されている全ての写真、内容は、著作権法により保護されています。 Copyright©  2009 Fukunaga Dental Clinic. All Rights Reserved. |