|
![]() |
| ここに掲載されているそれぞれの写真の詳しい治療内容については、≪INDEX≫の”超精密特許義歯『ウルトラデンチャー』”、”下の入れ歯固定装置ミニインプラント”、および”審美歯科”のページをご参照ください。 また、それぞれの治療費につきましては、その他の情報INDEXの”料金一覧表”のページをご参照ください。 なお、この写真に掲載されている治療のリスクは、通常の歯科治療におけるリスク(補綴物の脱離、破折、調整前の咬合時痛、局所麻酔薬によるショックなど)と何ら変わるものではありません。 副作用につきましては、金属アレルギーが考えられますが、これも、その発生頻度が通常の歯科治療を超えるものではなく、当医院では、開院以来、金属アレルギーの症状が出現された患者様はおられません。 |
大阪梅田 泉の広場上がる スグ 地図はこちら→ |
治療またはカウンセリングをご希望の方は、 まずはメールかお電話を! メールでのご予約、お問い合わせはこちら⇒ お名前、お電話番号と、ご希望の日時を2,3 お書きいただき、 送信してください(メール受付は24時間対応) |
| ㉑ アタッチメント ウルトラデンチャー(部分入れ歯) |
![]() |
![]() |
|
| アタッチメントウルトラデンチャーは、針金がなく、審美性にも優れた部分入れ歯です。 針金付きの入れ歯は、針金を掛けている歯(鉤歯)への負担が大きすぎて、すぐにその歯が悪くなってしまうことが多いのですが、アタッチメントはそういった弊害が少なく、また、しっかり固定されて装着感がよい優れものの入れ歯です。 |
||
![]()
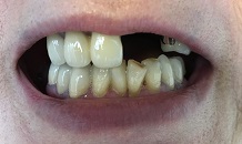
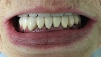
| ⑳ 80代女性 |
| 治療前 | ![]() |
![]() |
|
| 治療後 | ![]() |
![]() |
|
| 上はウルトラデンチャー(総入れ歯)を作製、 下は前歯4本の虫歯を治療し、セラミッククラウンブリッジを装着。 左右の奥歯はアタッチメントウルトラデンチャー(部分入れ歯)で固定しました。 |
|||
![]()
| ⑲ 60代女性 | 以前に入れられた義歯のかみ合わせが非常に悪く、審美性もよくないので、 しっかり噛めて、見た目も良い納得できる義歯を作ってほしい、とのご要望でした。 |
| 治療前 | ![]() |
![]() |
|
| 治療後 | ![]() |
|
|
| 上は残すことができた3本の歯の虫歯治療を行い、OPアンカーを3本装着しました。 OPアンカーでしっかり止まるため、上のウルトラデンチャーは、患者さんの希望もあり、口蓋(上顎)なしの総入れ歯を作製しました。 下の歯は7本、セラミッククラウンブリッジを装着し、アタッチメントウルトラデンチャー(部分入れ歯)で固定しました。 |
|||
![]() |
![]() |
||
| 完成後。 審美性、嚙み合わせ共に大変よくなり、何でも食べることができると喜びのお手紙まで頂戴致しました。 |
|||
![]()
| ⑱ 80代男性 | 入れ歯がガタガタで、全く噛めないし、残っている自分の歯も痛くてどうしようもないので、総合的に全て治して欲しいとのご要望でした。 |
| 治療前 | ![]() |
|
|
| 現状は、重度の歯周病(歯槽膿漏)が進行しており、 残っている歯は今にも抜けそうなほどグラグラで、排膿している状態でした。 重度の歯周病は、口腔内だけでなく、全身の健康にも影響いたします。 また、昨今では、口腔内の不衛生が、新型コロナウィルスの重症化にも関連があると指摘されています。とりわけ口腔内ケアの重要性が増しています。 |
|||
| 治療後 | |
||
| 残せた歯の歯垢・歯石除去を徹底的に行いました。 また患者さんは、当院がお教えした歯磨き方法をきちんと実践され、口腔内の衛生度は飛躍的に向上しました。 歯を保存できるめどがついたので、下の残った3本の歯に下の総入れ歯を固定するためのOPアンカーを装着しました。 |
|||
![]() |
![]() |
||
| 上はメタル入りウルトラデンチャー(総入れ歯) 下はOPアンカーによるアッタッチメントウルトラデンチャー(総入れ歯)を作製 |
|||
![]() |
![]() |
||
| 見違えるようにきれいになり、今では何でもよく噛めて痛くないし、 夜も入れ歯を入れたままでもぐっすり眠れると、喜んでおられます。 |
|||
![]()
| ⑰ 70代女性 | 現在お使いの、取り外し式の入れ歯が合わないので、困っている、とのことでした。 |
| 治療前 | ![]() |
||
| 治療後 | ![]() |
![]() |
|
| 上の前歯は、セラミッククラウンブリッジ、 奥歯は、アタッチメントウルトラデンチャーを作製し、入れ歯特有の針金を無くしました。 下は、ソフトフィットスマイルデンチャーにて、欠損部を補填しました。 |
|||
![]() |
|||
| 審美的にもご納得いただける義歯を作製することができました。 | |||
![]()
| ⑯ 80代女性 | 上あごの取りはずし式の入れ歯が、痛くてよく噛めないのと、口がゆがんで見えるのを治して欲しいとのことで来院されました。 針金付きの入れ歯も困るとのことでした。 |
| 治療前 | ![]() |
![]() |
||
| 治療後 | ![]() |
|
|
|
| 上顎は、前歯4本のセラミッククラウンと、左右奥歯のアタッチメントウルトラデンチャー (部分入れ歯)を作製しました。 下顎は、現在ある差し歯を全てはずし、セラミッククラウンに替えました。 |
||||
![]() |
![]() |
|||
| ゆがみもきれいに治り、ウルトラデンチャーでしっかり噛めるようになられました。 入れ歯をはめたまま寝ても全く気にならないそうです。 前の入れ歯では痛くて噛めなかったのが、嘘のように痛くなくなり、もっと早く治療すればよかったと喜んでおられます。 |
||||
![]()
| ⑮ 70代女性 | 十数年前に作った入れ歯が相当くたびれてきたので、新調したいとのことでした。 |
| 治療前 | ![]() |
残っている歯は下顎の三本だけでした。 | ||
| 治療後 | |
|
|
|
| 上顎には、ウルトラデンチャー(総入れ歯)を作製。 下顎には、残っている3歯にコーヌスクローネ(茶筒のような入れ歯を固定する装置)を装着し、ウルトラデンチャー(総入れ歯)を作製しました。 |
||||
![]() |
![]() |
![]() |
||
| コーヌスクローネによって、下顎の総入れ歯は浮き上がらなくなりました。 上顎の総入れ歯も、メタル床により、薄く仕上げることができました。 外から入れ歯に使用している金属が見えることはありません。 |
||||
![]()
| ⑭ 70代女性 | 今入れている入れ歯は、金属が目立つのできれいにして欲しいとのことでした。 |
| 治療前 | ![]() |
||||
| |
|||||
| 治療後 | |
上下、針金のないアタッチメントウルトラデンチャー(部分入れ歯)を 作製しました。 |
|||
![]() |
![]() |
|
![]() |
||
| 外から金属が見えなくなり、上下の入れ歯も小さくなり、入れ歯特有の違和感がなくなったと 喜んでおられます。 今では、痛くなく何でもバリバリ噛めるようになったそうです。 |
|||||
![]()
| ⑬ 70代女性 | 上顎の差し歯が出っ歯で、前歯で噛み切ることが難しく、見た目も悪いので 新しい入れ歯を作って欲しいとのことでした。 |
| 治療前 | ![]() |
|
|
|||
| |
||||||
| 治療後 | ![]() |
![]() |
下顎の左右奥歯は、針金のないアタッチメントウルトラデンチャー(部分入れ歯)を作製しました。 | |||
![]() |
![]() |
|
![]() |
![]() |
||
| 上顎の全ての差し歯を取り外し、 セラミッククラウンをかぶせなおして、出っ歯を治しました。 下顎の前歯も、差し歯を外して アタッチメント付きのセラミッククラウンに替えました。 |
下顎の左右奥歯のアッタッチメントウルトラデンチャー(部分入れ歯)も装着した写真です。 出っ歯が治り、きれいな口元になったと喜んでおられます。 |
|||||
![]()
| ⑫ 70代女性 | 治療前、笑っても上の歯があまり見えないし、口がゆがんでいる(向かって右下がりになっている)のを大変気になさっておられました。 新しい義歯を作るにあたり、審美性を回復するだけでなく、下の入れ歯が浮き上がったり動いたりせず、痛くなく噛めるようにしてほしいとの希望もありました。 |
| 治療前 | ![]() |
![]() |
||
| 治療後 | ![]() |
![]() |
|
|
| 上の歯が少し見えるようにし、歯並びがゆがんでいるのも是正して、上下ウルトラデンチャー(総入れ歯)を作製しました。 入れ歯の精度を上げることにより、フィット感が増し、痛みをなくすことができました。 |
下の前歯5本に、OPアンカーを装着し、下の総入れ歯をしっかりと固定しました。 これで浮き上がることはありません。 |
|||
![]()
| ⑪ 70代女性 | 針金が全くないアタッチメントウルトラデンチャー(部分入れ歯)を上下作製しました。 |
| 治療後 | ![]() |
![]() |
![]() |
|
|
![]()
| ⑩ 70代女性 |
| 治療前 | ![]() |
|
|
| 治療後 | ![]() |
![]() |
|
| 上の歯のないところは、セラミッククラウンブリッジで補綴しました。 右下(向かって左)の針金付きの部分入れ歯を、針金の見えない アタッチメントウルトラデンチャー(部分入れ歯)に変更しました。 |
|||
![]()
| ⑨ 80代女性 | 上は針金付きの入れ歯を何年も使用されていたのですが、修理を重ね、つぎはぎで、合わなくなってきたので、新しい義歯の作製を希望され、来院されました。 下も左右奥歯がないので、部分入れ歯を作る必要があったのですが、針金の見えない義歯を希望されました。 |
| 治療前 | ![]() |
![]() |
|||
| 治療後 | ![]() |
![]() |
|
![]() |
|
| 上はウルトラデンチャー(総入れ歯) 下はアッタチメントウルトラデンチャー(部分入れ歯) |
|||||
![]()
| ⑧ 70代男性 |
| 治療前 | ![]() |
![]() |
|
|
| 右下(向かって左)の奥は、元々歯がありません。 | 上の前歯が重度の歯槽膿漏で抜歯適応となりました | |||
| 治療後 | ![]() |
![]() |
|
|
| 右下奥に、針金の見えないアタッチメントウルトラデンチャー(部分入れ歯)を作製しました。 右側の写真は、アタッチメントの内面です。 |
上はウルトラデンチャー(総入れ歯)を装着しました。 | |||
![]()
| ⑦ 70代女性 | 上の入れ歯が合っておらず、痛くて噛みにくく、下の前歯が虫歯になっており、針金の金属もなくしてほしいとの訴えがありました。 |
| 治療前 | ![]() |
|
|
| 治療後 | ![]() |
![]() |
|
| 上はウルトラデンチャー(総入れ歯)、下の前歯5本をセラミッククラウンブリッジ、両側奥歯はアタッチメントウルトラデンチャー(部分入れ歯)を作製しました。 上の入れ歯の痛みをなくすのは比較的容易です。 |
|||
![]()
| ⑥ 80代女性 | 「上の前歯の隙っ歯を直して欲しいのと、奥の入れ歯が使用して十数年になりくたびれてきたので新しく作り直して欲しい」 との訴えでした。 |
| 治療前 | ![]() |
|
|
| 治療後 | ![]() |
![]() |
|
| 上の前歯から小臼歯にかけての6本は、セラミッククラウンブリッジ、両側の奥歯はアタッチメントウルトラデンチャー(部分入れ歯)で治療しました。 | |||
![]()
| ⑤ 60代女性 | 上の前歯6本を、セラミッククラウンに。 上の左右奥歯はクラスプ(針金)のないアタッチメントウルトラデンチャーにて治療を行いました。 |
| 治療前 | ![]() |
|
|
| 治療後 | ![]() |
![]() |
|
![]()
| ④ 80代女性 | 上下ウルトラデンチャー(総入れ歯)。 残っている歯はほとんどありませんが、 OPアンカー4本にて上の総入れ歯をしっかり固定しました。 痛みがなくなり、大変喜んでおられます。 |
| 治療前 | ![]() |
||
| 治療後 | ![]() |
![]() |
|
![]()
| ③ 70代女性 | 上下ウルトラデンチャー(総入れ歯)。下はコーヌスクローネを4本装着。 歯周病が進んでいた下顎前歯4本を抜歯、 残った4本の歯根にコーヌスクローネ(茶筒状の入れ歯固定装置)を装着し、 下の総入れ歯をしっかりと固定しました。 これにより、下の総入れ歯の浮き上がりを防止することができました。 上は通常のウルトラデンチャー(総入れ歯)です。 |
| 治療前 | ![]() |
||||
| 治療後 | ![]() |
![]() |
![]() |
|
|
| 残った4本の歯根にコーヌスクローネを装着したところ。 これが茶筒の内ぶたになります。 |
下の総入れ歯の内面に 茶筒の外ぶたを4つ装着しています。 内ぶたと外ぶたがピッタリはまりこみ、真空状態になり、密着します。 |
上下ウルトラデンチャー (総入れ歯)完成 |
自然な口元 | ||
![]()
| ② 70代女性 | 上はウルトラデンチャー(総入れ歯)。 下は前歯から右側(向かって左)の奥歯にかけて7本をセラミッククラウンブリッジ。 下の左側(向かって右)の奥は、針金のないアタッチメントウルトラデンチャーを作製しました。 痛くなく噛めるようになったのが何よりも嬉しいとおっしゃって下さっています。 |
| 治療前 | ![]() |
||
| 治療後 | ![]() |
![]() |
|
![]()
| ① 50代女性 | 上は10本、下は8本を、セラミッククラウンブリッジ。 上の左側(向かって右)と下の右側(向かって左)の奥は、針金のないソフトフィットデンチャー(部分入れ歯)を作製しました。 |
| 治療前 | ![]() |
|
||
| 治療後 | ![]() |
![]() |
|
|
| ソフトフィットデンチャー | 白いきれいな歯 | 笑顔が美しくなりました | ||
![]()
![]()
|
≪INDEX≫
|
大阪梅田 泉の広場上がる スグ 地図はこちら→ |
治療またはカウンセリングをご希望の方は、 まずはメールかお電話を! メールでのご予約、お問い合わせはこちら⇒ お名前、お電話番号と、ご希望の日時を2,3 お書きいただき、 送信してください(メール受付は24時間対応) |
| 無断転載禁止 | このホームページ上に掲載されている全ての写真、内容は、著作権法により保護されています。 Copyright©  2009 Fukunaga Dental Clinic. All Rights Reserved. |